Hipertrofia gengival - tem jeito de evitar?

O que é hipertrofia gengival?
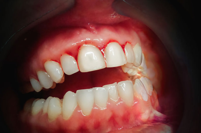
A hipertrofia gengival, também conhecida como hiperplasia gengival, é um crescimento excessivo e anormal do tecido gengival ao redor dos dentes, encobrindo-os parcialmente. Esse aumento no tamanho da gengiva é uma característica comum das doenças gengivais.
Quais são as causas da hipertrofia gengival?
Existem várias causas para o aumento do volume gengival:
- Aumento inflamatório, que se deve à placa bacteriana que, por sua vez, é o resultado de má higiene bucal.
- Aumento gengival induzido por medicações, que pode ser agravado pelo acúmulo de placas bacterianas.
- Fibromatose gengival hereditária, que é uma condição rara que se desenvolve durante a infância, embora alguns casos possam se tornar evidentes apenas na idade adulta.
- Inúmeras causas sistêmicas que podem promover aumento gengival localizado e/ou generalizado.
A gengivite com aumento gengival também ocorre nas pessoas com respiração predominantemente bucal, como resultado da irritação provocada pela desidratação da mucosa gengival.
Saiba mais sobre "Gengivite", "Língua saburrosa", "Boca seca", "Dentes separados" e "Dentes tortos".
Quais são as principais características clínicas da hipertrofia gengival?
As gengivas afetadas pela condição inflamatória são sensíveis, macias, vermelhas e sangram com facilidade. Ao contrário, nos aumentos gengivais devidos a medicações, os tecidos gengivais são tipicamente firmes, não sensíveis, de cor rosa pálido e não sangram com facilidade.
Em casos graves, a gengiva pode cobrir completamente as coroas dos dentes, causando doença periodontal e problemas com o alinhamento dentário.
A fibromatose gengival apresenta-se como um aumento lento, generalizado ou ocasionalmente localizado, não sensível, firme e rosa pálido da gengiva.
As hipertrofias gengivais devidas a causas sistêmicas aparecem, entre outras, em condições como gravidez, desequilíbrios hormonais, leucemia, HIV, diabetes, anemia, doença de Crohn e deficiências vitamínicas. O aumento gengival associado a condições sistêmicas geralmente desaparece quando a condição subjacente é tratada ou, no caso de gravidez, quando o parto é realizado. Tal como acontece com o aumento gengival induzido por medicamentos, medidas de boa higiene bucal reduzirão o risco de desenvolvimento do aumento gengival.
Outros sintomas associados à hiperplasia gengival de qualquer natureza são dor, gengivas vermelhas e sangrando, gengivas sensíveis, inflamação, mau hálito e formação de placa nos dentes.
Como diagnosticar a hipertrofia gengival?
A hiperplasia gengival em si mesma pode ser facilmente diagnosticada por observação direta. Mais laborioso é diagnosticar a sua causa. Alguns casos ultrapassam o âmbito da odontologia e necessitam da Medicina. Nesses casos, exames laboratoriais serão solicitados, na dependência das suspeitas estabelecidas.
Leia sobre "Halitose ou mau hálito", "Sangramento das gengivas" e "Retração da gengiva".
Como tratar a hipertrofia gengival?
O tratamento da hiperplasia gengival depende da causa subjacente e deve ser feito pelo dentista e/ou médico, conforme o caso. A condição melhora depois que a causa subjacente é removida, se isso for possível.
O crescimento gengival inflamatório se resolve com práticas eficazes de higiene bucal para remover a placa bacteriana e os irritantes dos dentes. O aumento gengival induzido por medicações pode resolver parcial ou completamente quando a medicação é descontinuada. Se o medicamento não puder ser descontinuado, a remoção cirúrgica do excesso de gengiva pode ser realizada, mas a condição provavelmente ocorrerá novamente.
Na fibromatose gengival, a remoção cirúrgica do excesso gengival é frequentemente necessária para evitar impactação e deslocamento dos dentes. Remoções cirúrgicas repetidas podem ser necessárias devido à natureza recorrente dessa condição.
A hiperplasia gengival pode ser uma condição repetitiva, apesar das melhorias na higiene bucal, tratamento profissional e substituições ou supressões de medicamentos. Em alguns casos, gengivas com crescimento excessivo podem precisar ser removidas cirurgicamente.
Como evolui em geral a hipertrofia gengival?
Se não for tratada, a hipertrofia gengival pode afetar o alinhamento dos dentes e aumentar o risco de desenvolver doenças gengivais ou da boca, de modo geral. A hiperplasia gengival pode ser resolvida melhorando os hábitos de higiene bucal. Em casos mais graves, é necessário tratamento cirúrgico.
Como prevenir a hipertrofia gengival?
Uma higiene bucal adequada pode melhorar os sintomas de todas as formas de hipertrofia gengival e até reduzir o risco de desenvolver essa condição.
Veja também sobre "Higiene dental infantil", "Clareamento dental", "Enxaguatórios bucais" e "Envelhecimento precoce dos dentes".
Referências:
As informações veiculadas neste texto foram extraídas dos sites da AAOM – American Academy of Oral Medicine e do National Center for Biotechnology Information - NCBI.
